Skip to Content

Smile Gallery

Beautiful Results, One Smile at a Time

Explore real patient transformations in our smile gallery, where confidence begins with compassionate care. Each case reflects our team's personalized treatment, advanced techniques, and attention to detail. We are proud to help our patients achieve healthy, beautiful smiles in a comfortable environment. Schedule a consultation to start your smile journey!

Schedule a Consultation

Smile Makeover

A smile makeover can restore confidence, improve oral health, and enhance appearance. By combining different aesthetic and restorative treatments, we address unique needs with care. Patients experience renewed self-esteem, better function, and lasting results.

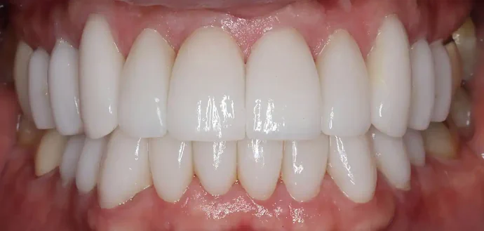
Dental Veneers

Dental veneers offer a simple, effective way to enhance your smile by covering imperfections like stains, chips, or gaps. Custom-made for comfort and a natural appearance, they can boost confidence while preserving your tooth structure.

Full Mouth Reconstruction

Full mouth reconstruction restores both function and aesthetics by addressing worn, damaged, or missing teeth. Through a personalized treatment plan, patients can regain comfort when eating, improve speech, and achieve a healthier, more natural-looking smile.

Old Crown Replacement

Over time, crowns can wear, loosen, or stop fitting properly, putting your tooth at risk. Replacing older crowns restores strength, improves comfort, and enhances your smile’s appearance. Modern materials also offer durability and a more natural look.

Teeth Whitening & Veneers

Renew your smile with teeth whitening and veneers, two effective options for brighter, more confident results. Whitening gently removes stains, while veneers correct chips, gaps, and discoloration.

Precision Dentistry, Beautiful Outcomes

If these transformations inspired you, imagine what’s possible for your smile. Schedule a consultation today with our experienced dental team and take the first step. You can also visit our Smile Transformation page to see what your future smile could look like.

Schedule a Consultation  See Your Smile Transformation

Huckabee Dental

505 W Southlake Blvd
Southlake, TX 76092
View Map

Hours

Monday: 8:00 AM - 5:00 PM
Tuesday: 8:00 AM - 5:00 PM
Wednesday: 8:00 AM - 5:00 PM
Thursday: 8:00 AM - 5:00 PM
Friday: 8:00 AM - 2:00 PM

Phone

817-329-4746

Email Address

[email protected]